Remote access to computer tomography scans of human jaws using .NET, C# & SQL

Remote access to computer tomography scans of human jaws using .NET, C# & SQL

October 24, 2023

The Diagnostician Medical Centre project facilitates both doctors and patients with remote access to DICOM-based image viewing tools, showcasing CT scans of the jaw, executed on KaVo tomographs.

Diagnostician

“The experts successfully tackled the challenge, setting up and launching the system. Users can now effortlessly view research outcomes on a remote server, eliminating the need to download extensive files.“

Diagnostician

Software package components.

01 Servers Utilizes multiple servers operating on Windows.
02 Software for Image Viewing Software tailored for viewing DICOM images of computer tomography.
03 File Storage Dedicated storage for examination results.
04 Patient Directory Interface to display patient list and initiate selected examinations.
05 Database Maintains a database to store directories of clinics and their associated doctors.

Server access is facilitated through the RDP (Remote Desktop Protocol). This enables the integrated software to relay data using the default Windows application designed for interacting with remote servers. Notably, the server can accommodate multiple users logging in under a singular account. For security purposes, the configuration ensures that only the user interface (or shell) is visible upon login, with all access to other windows being strictly restricted.

Tomographs

KaVo tomography
KaVo computer tomographs
KaVo OP300 Maxio 3D
KaVo OP300 Maxio 3D in action

Dental Software Suites

We've established server-based application virtualization tailored for computed tomography image processing, including:

OnDemand MPR
OnDemand3D multi-planar reconstruction
OnDemand дентальный модуль
OnDemand3D dental module
EZ 3D Plus MPR
Ez3D-Plus multi-planar reconstruction
EZ 3D Plus Curve
Ez3D-Plus curve mode
iCAT предварительный просмотр
i-CAT Vision preview mode
iCAT имплантация
i-CAT Vision implantation mode

Diagnost's modules

01 Database Module Database Module
  • Patient list creation.
  • Display of full patient names with corresponding examinations.
  • Identification of software tools where results are stored.
  • Patient selection for examination result viewing.
02 Launch Module Launch Module Initiation of dental software.
03 Preview Module Preview Module Preliminary viewing of examination outcomes.
04 Results Preparation Module Results Preparation Module Production of files for offline computed tomography result viewing on any computer, eliminating the need for additional software installation.
05 Survey Unloading Module Survey Unloading Module Automated view of medical surveys from Cloud@mail.ru, Yandex.Disk, or Google Drive. Sending of the download link either to the patient's email or the clinic's doctor. электронную почту пациента или врача клиники.
06 Feedback Module Feedback Module Facilitates communication by sending messages to administrators. Logging of callback requests.
07 Administration Module Administration Module Editing capabilities for clinic listings, doctors, and system administrators.
08 Logging Module Logging Module A dedicated module for error tracking and documentation.

The core of the system is a desktop application housed on the server. Upon connection, users are instantly presented with a window showcasing a list of their clinic's patients, eliminating the need for launching any additional software. The system incorporates various user roles, each with distinct access permissions: user, administrator, and owner.

The Preview Module offers the convenience of viewing a CT scan using the built-in tools of the standard Windows OS without the need for specialized software activation. This file's preparation is overseen by the system administrator during the CT results upload phase to the server.

The database is tailored to accommodate the accounts of doctors, categorized by their affiliated clinics. The system permits the addition of an unlimited number of clinics, and within each clinic, an unlimited roster of doctors can be registered. Each user is allocated a specific storage capacity within the server's disk storage. Thus, as the doctor count escalates, there's a corresponding need to expand the disk storage.

To ensure seamless, concurrent operation for all doctors within the system, a high-performance server is imperative. The optimal server configuration is determined through a series of formulas:

  • Total threads of all processors = N + 2;
  • RAM requirement = N х (3 GB + 4 GB), where N represents the count of simultaneous sessions.
Application's main screen
Application's main screen
Admin interface
Admin interface
User feedback section
User feedback section
Callback request interface
Callback request interface

Medical descriptions

Detailed description: TRG analysis, 3D CEPH analysis
Detailed description: TRG analysis, 3D CEPH analysis
Teleroentgenography
Teleroentgenography
Panoramic tomography of dentitions
Panoramic tomography of dentitions
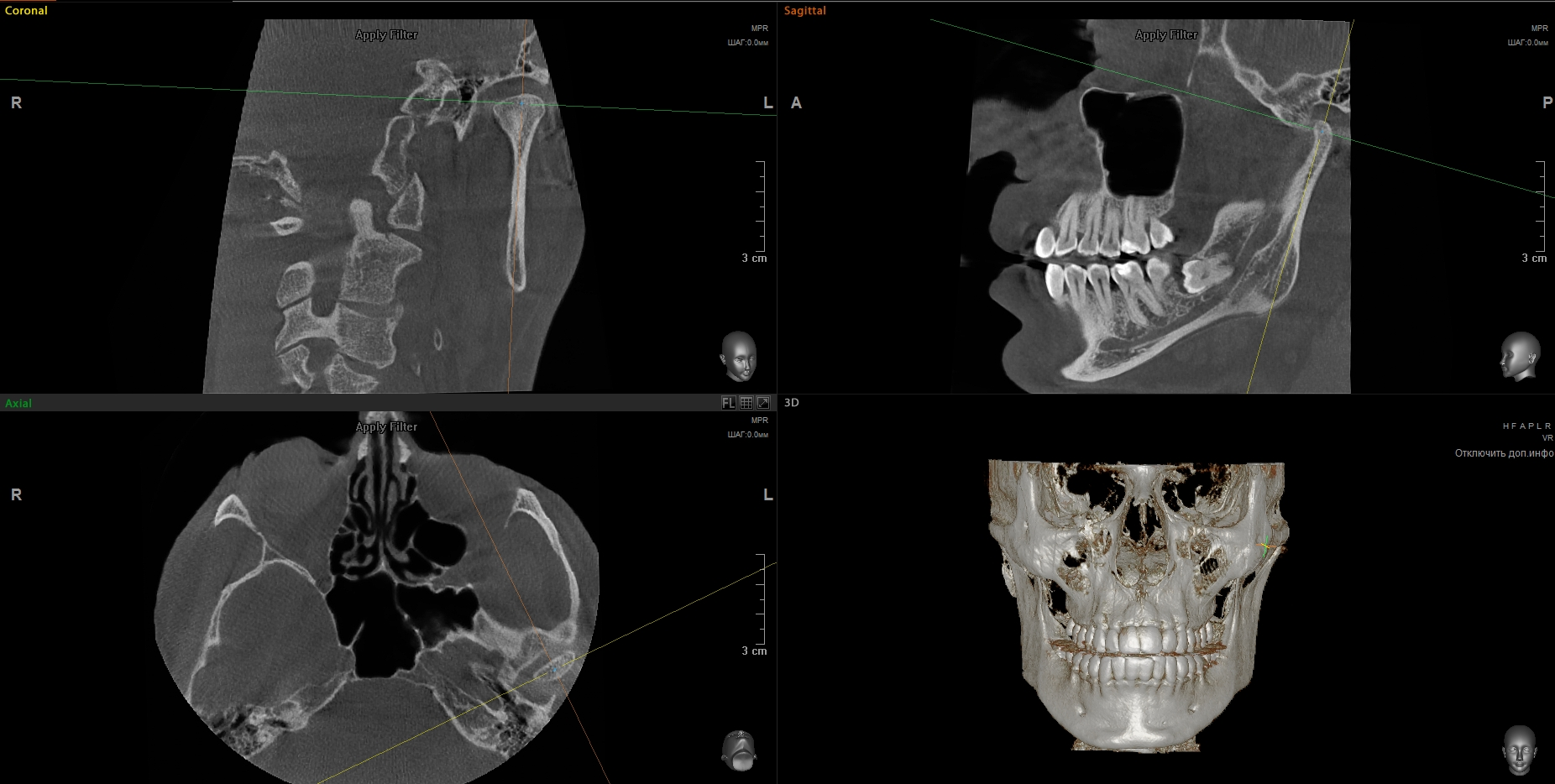
Computed tomography of the jaws
Computed tomography of the jaws
Detailed imaging of the jaws and the mandibular joint
Detailed imaging of the jaws and the mandibular joint
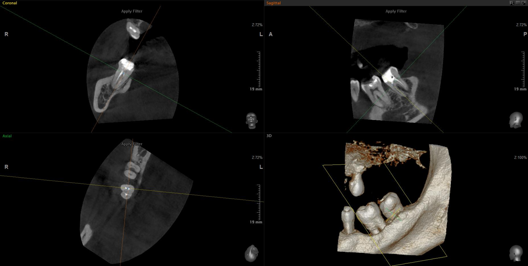
Detailed imaging of a 5×5 cm segment, typically 2-3 teeth
Detailed imaging of a 5×5 cm segment, typically 2-3 teeth
Imaging of the paranasal sinuses
Imaging of the paranasal sinuses
Computed tomography of one jaw
Computed tomography of one jaw

Conclusion

Челюсть
Final stage of jaw treatment 😄